速報APP / 教育 / Horos Mobile™

Horos Mobile™

價格:免費

更新日期:2020-06-21

檔案大小:13.9 MB

目前版本:0.1.1

版本需求:系統需求:iOS 13.0 或以後版本。相容裝置:iPhone、iPad、iPod touch。

支援語言:英語

Horos Mobile™(圖1)-速報App

Horos Mobile™ is a DICOM medical image viewer for iOS devices.

With this app, you’re no longer confined to your office or required to be near your computer to read medical images. You can access, view and manipulate DICOM images from your iOS devices, including iPhone and iPad, anywhere and at any time.

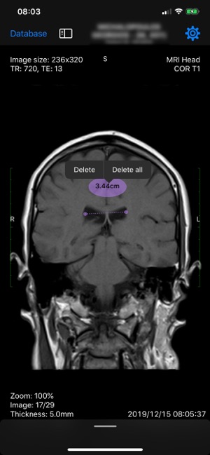
Horos Mobile™ displays DICOM format images from all modalities including ultrasound, CT scanner, MRI, PET, etc. This app includes easy-to-use processing tools including zoom, pan, WW/WL, ROI measurement etc.

Horos Mobile™(圖2)-速報App

Important: Horos Mobile™ (iOS) and Horos Desktop (macOS) are not CE- or FDA-certified and should not be used for primary diagnosis.

>> Key features

DICOM Nodes (Bonjour) -import directly from your Horos Desktop workstation

Horos Mobile™(圖3)-速報App

iCloud Drive, Dropbox and Google drive support for importing images.

Support for custom DICOM Nodes

Orthogonal MPR

Horos Mobile™(圖4)-速報App

Multiple Windows (split Screen mode)

Supports Patient Folders (automatically created)

Supports same file types as Horos Desktop (including JPEG/JPEG2000)

Horos Mobile™(圖5)-速報App

Adjust WW/WL with one-finger drag

WW/WL presets

Scroll (adjustable scroll speed) and on screen navigation controls

Horos Mobile™(圖6)-速報App

Zoom (pinch to zoom gesture)

Pan images (two-fingers drag)

Draw Line Measurement ROI

Horos Mobile™(圖7)-速報App

Angle ROI (measure angle)

Point ROI (measure pixel values)

Area ROI (min, max, SD, area)

Horos Mobile™(圖8)-速報App

On-screen annotations (toggle)

On-screen navigation controls (toggle)

Loop through images mode (toggle)

Horos Mobile™(圖9)-速報App

Sort images by "Instance" or "Location"

**No resolution restrictions in imported images**

支援平台:iPhone, iPad