價格:免費
更新日期:2015-10-22
檔案大小:3.5 MB
目前版本:1.0.1
版本需求:需要 iOS 8.0 或以上版本。與 iPhone、iPad 及 iPod touch 相容。
支援語言:英語
![]()
Finally, portable cancer research at your finger tips!
Welcome to OncoWuXi, the first comprehensive mobile oncology app from WuXi Apptec. Here you will be able to search and browse our comprehensive oncology research catalog, and examine gene mutations and expressions across a variety of cancer types. Whether you are in a laboratory, seminar or conference, OncoWuXi is your mobile assistant for up-to-date oncology references. Further more, if you are interested in any of our cancer models, you can contact our oncology department directly from the APP for follow up service requests. We strive to provide top-notch oncology service to meet your research demands.
With OncoWuXi, you can:
Browse over 900 patient derived xenografts (PDx) models, 134 Human cell lines and derived xenografts (CDx) models, and 34 Murine cell lines and derived syngeneic models.
Examine selected gene omics profiles (RNASeq, Microarray, Copy-number variation, whole exome sequencing) for specific cancer models.
Search and explore genes omics profiles in a variety of cancer models
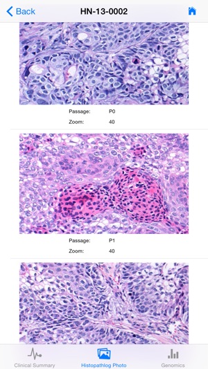
Explore clinical profiles and histopathology staining data right from your mobile devices
Ease of follow up service request to WuXi oncology right from your phone.
Don't wait - try Onco WuXi free now.
支援平台:iPhone
